歯髄保存療法
「歯の寿命」を語るうえで、
その歯の神経(歯髄)の有無はとても大きな問題です。
当院では、
神経に近いような大きなむし歯の治療を行うとき、
少しでも可能性があるならば
歯髄の保存に努めるようにしています。
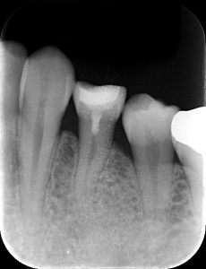
例えば、
こちらのようにむし歯が大きく

むし歯を取ると歯髄が露出してしまっているようなケースにおいて

MTAとよばれるセメントを埋めます

幸い症状もなく、半年後には新たな組織の形成も認められましたので

歯髄を保存したうえで、治療を完了することができました。
もちろん止むを得ず神経を取らなければならないこともありますが、
取ることによって将来的に歯が割れてしまい
抜歯になるリスクが高まるのは確かです。
ご自身の歯でなるべく長くお食事を楽しんでいただくためにも
正確な診査、診断でお答えできるように努めますので
お気軽にご相談ください。
歯科医師
上津原悟郎
